Q755
Most fascia of the body that attach to bones attach by which of the following mechanisms?
Most fascia of the body that attach to bones attach by which of the following mechanisms?
To which of the following diseases is pyruvate kinase deficiency most similar clinically?
The left adrenal vein drains directly into which of the following veins?
A 50 -year-old electrician reports pain in his left upper extremity and tingling and numbness in his 4th and 5th digits of his left hand. Ther e is mild swelling of the left hand. The man reports most of his pain and numbness occurs when he is doing electrical work with his arms overhead. X-ray reveals the presence of a cervical rib. Which of the following structures is most likely being compressed?
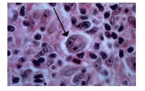
A 25-year-old man
presents with a 4-cm mass above the clavicle. Chest X-ray demonstrates marked
mediastinal widening. Excisional biopsy of the supraclavicular mass
demonstrates areas with the appearance shown in the photomicrograph above.
The large cell (indicated with the arrow) is most likely which of the
following?
A 5-year-old boy falls off his bike and fractures his humerus. He is taken to the emergency room, and the bone is set by one of the emergency room physicians. Which of the following is responsible for producing the majority of the new bone that will reunite the two fragments?
A 15-year-old boy is evaluated by a clinician for failure to develop normal male secondary sexual characteristics. Physical examination reveals small testes, a small penis, and gynecomastia. The boy has had some difficulties in school, and the parents say that the school psychometrist said he had an IQ of 90. This patient's condition is most likely to be related to which of the following?
A 68-year-old woman presents for a routine check-up. Her only complaint is that she occasionally experiences a little swelling in her ankles. Her serum potassium is 3.5 mEq/L, so the physician wants to avoid unnecessary potassium losses. Which of the following diuretics would be most appropriate for this patient?
A patient presents with a bulge in the groin, which his physician diagnoses as an inguinal hernia. To determine whether it is an indirect or direct inguinal hernia, the physician applies pressure over the deep inguinal ring while palpating over the superficial inguinal ring. The patient is then asked to cough. The physician notes that the hernia does not push out of the abdomen and concludes that it is an indirect inguinal hernia. Where did the physician apply pressure?
Which of the following is found in the respiratory zone of the lung?